
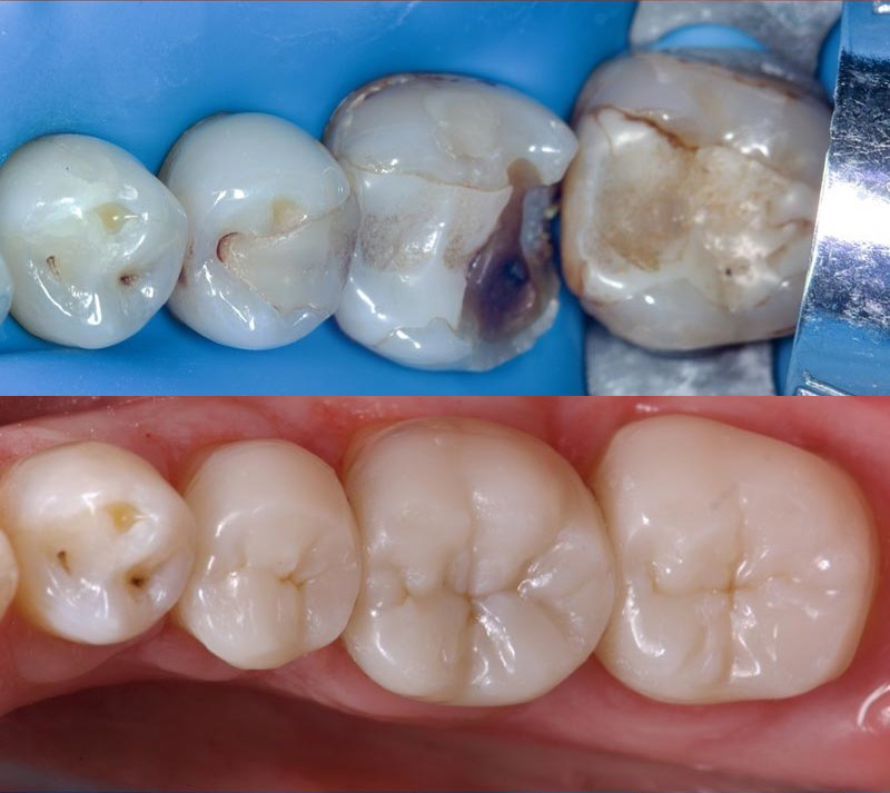
Ο συχνότερος λόγος που επισκέπτεται κάποιος τον οδοντίατρο είναι για να φτιάξει κάποια έμφραξη(σφράγισμα). Η επιστήμη της οδοντιατρικής έχει προχωρήσει τόσο πολύ έτσι ώστε οι εμφράξεις να είναι όλες από σύνθετη ρητίνη( “άσπρα” σφραγίσματα).
Επιπροσθέτως έχουμε στη φαρέτρα μας την χρήση του ελαστικού απομονωτήρα ο οποίος μας επιτρέπει να απομονώσουμε τα δόντια από το υγρά στοιχεία της στοματικής κοιλότητας(σάλιο, αίμα) με κύριο στόχο να έχουμε ένα στεγνό και καθαρό δόντι για να επιτύχουμε την καλύτερη δυνατή συγκόλληση της σύνθετης ρητίνης.



Copyright 2025. All rights reserved.